Răng sứ giúp cải thiện nụ cười và khớp cắn, nhưng không phải là giải pháp vĩnh viễn. Sau vài năm sử dụng, răng sứ có thể bị ố vàng, lung lay hoặc gây ê buốt nhẹ. Vậy khi nào cần thay răng sứ, khi nào cần sửa răng sứ để bảo vệ răng thật và duy trì thẩm mỹ? Cùng tìm hiểu dấu hiệu nhận biết, nguyên nhân và thời điểm vàng để thay răng sứ trong bài viết dưới đây.
Nội dung
- 1. Vì sao cần biết thời điểm thay hoặc sửa răng sứ
- 2. Tuổi thọ trung bình của răng sứ là bao lâu?
- 3. Dấu hiệu răng bọc sứ cần thay mới hoặc sửa chữa
- 4. Nguyên nhân khiến răng sứ bị hỏng sớm
- 5. Khi nào nên thay mới răng sứ – Thời điểm vàng để bảo vệ răng thật
- 6. Quy trình thay hoặc sửa chữa răng bọc sứ tại phòng khám
- 7. Cách chăm sóc sau khi thay răng sứ để dùng bền lâu
- 8. Câu hỏi thường gặp
1. Vì sao cần biết thời điểm thay hoặc sửa răng sứ
Răng sứ không phải là giải pháp vĩnh viễn. Sau thời gian dài sử dụng, răng sứ có thể xuống màu, lung lay hoặc gây ê buốt nhẹ. Nếu bạn không biết khi nào cần thay răng sứ hoặc khi nào cần sửa răng sứ, răng thật bên trong có thể bị tổn thương mà không nhận ra. Việc nhận biết sớm giúp bạn duy trì thẩm mỹ nụ cười, bảo vệ sức khỏe răng thật và tiết kiệm chi phí điều trị về sau.
2. Tuổi thọ trung bình của răng sứ là bao lâu?
Tuổi thọ răng sứ còn phụ thuộc vào chất liệu sứ, kỹ thuật gắn răng và cách chăm sóc:
- Răng sứ kim loại: có tuổi thọ trung bình từ 5 – 7 năm.

- Răng toàn sứ (Cercon, Emax, DDBIO, Lava Plus): tuổi thọ lên tới 10 – 20 năm, thậm chí lâu hơn nếu chăm sóc tốt.

Sau khoảng 7 – 10 năm, bạn nên đến nha khoa kiểm tra để đánh giá tình trạng và xem khi nào nên thay lại răng sứ nhằm đảm bảo thẩm mỹ và khớp cắn ổn định.
Xem chi tiết: Răng sứ sử dụng được bao lâu?
3. Dấu hiệu răng bọc sứ cần thay mới hoặc sửa chữa

3.1. Răng sứ bị lung lay, lỏng lẻo khi nhai
Nếu bạn cảm thấy răng sứ của mình không còn chắc chắn, hơi lung lay hoặc có phát ra tiếng khi ăn nhai, đó là dấu hiệu xi măng cố định đã yếu. Lúc này, bạn cần thay răng sứ cũ để tránh răng bong rơi và ảnh hưởng đến răng thật.

3.2. Viền nướu quanh răng sứ bị đen hoặc viêm đỏ
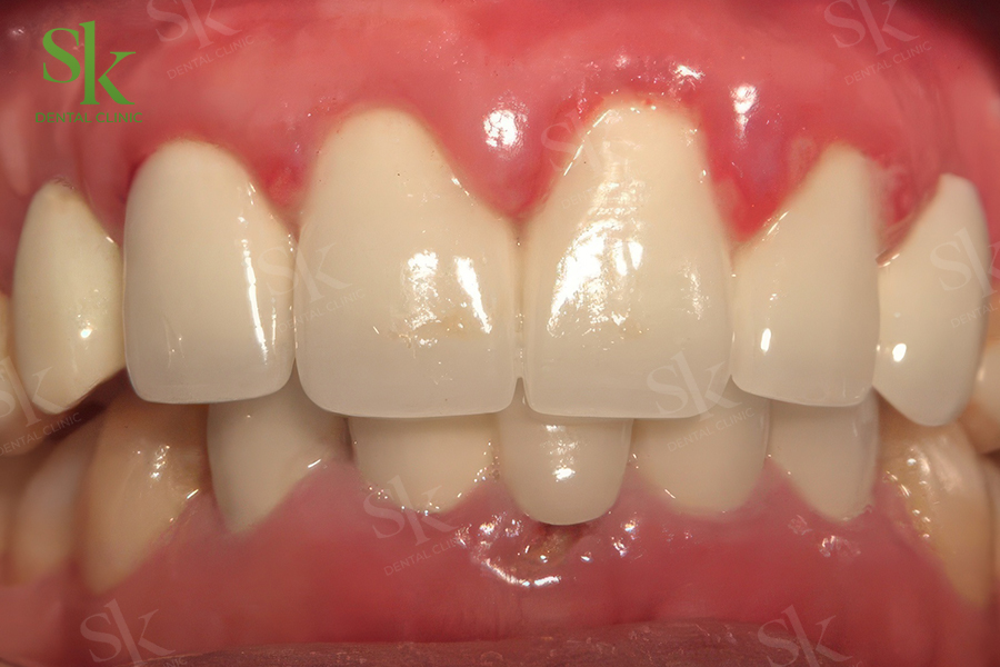
Viền nướu thâm đen là tình trạng thường gặp ở răng sứ kim loại do khung sườn bị oxy hóa. Không chỉ mất thẩm mỹ, nó còn khiến nướu dễ viêm. Đây là thời điểm răng sứ cần thay mới bằng răng toàn sứ, giúp duy trì màu sắc tự nhiên và an toàn cho mô nướu.

Tìm hiểu bọc răng sứ bị viêm lợi sưng nướu
3.3. Răng sứ bị ố vàng, đổi màu hoặc nứt mẻ
Sau thời gian dài, răng sứ bị ố vàng do thói quen uống cà phê, trà, rượu vang hoặc hút thuốc lá. Nếu màu ố nằm sâu trong lớp sứ, đánh bóng không còn hiệu quả, bạn nên thay lại răng sứ mới để lấy lại nụ cười sáng đẹp.

3.4. Ê buốt, đau nhức kéo dài quanh răng sứ
Nếu răng sứ gây ê buốt hoặc đau âm ỉ, có thể răng thật bên trong bị hở cổ hoặc viêm tủy. Đây là dấu hiệu cảnh báo răng sứ hỏng có thể phải thay để ngăn ngừa tổn thương lan rộng.

3.5. Sai khớp cắn, nhai không đều hoặc lệch khớp
Khi răng sứ bị lệch khớp cắn, việc nhai trở nên khó chịu, thậm chí mỏi hàm. Đây cũng là thời điểm nên sửa hoặc thay răng sứ cũ để đảm bảo cân đối khớp cắn và chức năng ăn nhai tự nhiên.

Tham khảo: Dịch vụ bọc răng sứ thẩm mỹ tại Nha khoa SK Dental
4. Nguyên nhân khiến răng sứ bị hỏng sớm
Có nhiều nguyên nhân khiến răng sứ nhanh bị hỏng sớm, tựu chung lại có thể xuất phát từ:
- Tay nghề bác sĩ chưa chuẩn, mài răng quá nhiều hoặc gắn không khít.
 
- Chất liệu sứ kém, dễ oxy hóa, gây đen viền nướu.
 
- Không chăm sóc đúng cách: ăn đồ quá cứng, chải răng mạnh, hút thuốc.
 
- Không tái khám định kỳ khiến vấn đề nhỏ trở nên nghiêm trọng.
 
Nếu được phục hình tại nha khoa uy tín, kết hợp chăm sóc khoa học, răng sứ có thể duy trì bền đẹp hơn 15 năm.
5. Khi nào nên thay mới răng sứ – Thời điểm vàng để bảo vệ răng thật

Để đảm bảo sức khỏe răng miệng tốt nhất, bạn nên tới nha khoa kiểm tra để thay răng sứ cũ trong những trường hợp:
- Răng sứ đã dùng trên 7 năm.
 
- Có dấu hiệu ố vàng, đen viền nướu hoặc lung lay.
 
- Cảm giác đau nhức, ê buốt khi ăn nhai.
 
- Thay đổi hình dáng gương mặt, khớp cắn sai lệch.
Thay răng sứ đúng thời điểm giúp bạn duy trì thẩm mỹ, tránh tổn thương răng thật và tiết kiệm chi phí điều trị lâu dài.
6. Quy trình thay hoặc sửa chữa răng bọc sứ tại phòng khám
Quy trình thay răng sứ hoặc sửa răng sứ tại nha khoa SK được gói gọn trong các bước:
- Thăm khám – Chụp phim CT 3D: kiểm tra tình trạng răng thật và mão sứ cũ.
 
- Tháo răng sứ cũ nhẹ nhàng, không ảnh hưởng đến mô nướu.
 
- Lấy dấu và thiết kế dáng răng mới phù hợp khớp cắn, khuôn mặt.
 
- Chế tác mão sứ tại Labo bằng công nghệ CAD/CAM hiện đại.
 
- Gắn thử – chỉnh khớp – cố định răng sứ mới.
Quy trình chỉ mất 2–3 ngày tùy số lượng răng và loại sứ lựa chọn nên khách hàng có thể yên tâm không mất nhiều thời gian chờ đợi.
7. Cách chăm sóc sau khi thay răng sứ để dùng bền lâu
Cũng như khi mới làm răng sứ, quy trình chăm sóc sau khi thay răng sứ cần được chăm chút kỹ lưỡng để răng sử dụng bền lâu, giữ màu tốt. Bạn nên lưu ý:
- Đánh răng ngày 2–3 lần bằng bàn chải lông mềm.
- Hạn chế đồ ăn cứng, nóng, lạnh hoặc có phẩm màu mạnh.
- Sử dụng chỉ nha khoa và nước súc miệng chuyên dụng.
- Tái khám 6 tháng/lần để kiểm tra khớp cắn, làm sạch và đánh bóng răng sứ.

8. Câu hỏi thường gặp
Răng sứ bị ố vàng có cần thay không?
Nếu ố nhẹ, có thể đánh bóng làm sáng lại. Nhưng khi răng sứ bị ố vàng sâu hoặc đổi màu toàn bề mặt, bạn nên thay răng sứ mới để đảm bảo thẩm mỹ.
Thay răng sứ có đau không?
Không đau, chỉ hơi ê nhẹ. Bác sĩ sẽ tháo mão sứ bằng dụng cụ chuyên dụng và gây tê nhẹ nếu cần, nên bạn hoàn toàn yên tâm.
Răng sứ titan bị đen có nên thay?
Có. Răng sứ titan bị đen viền nướu do oxy hóa khung kim loại. Bạn nên thay bằng răng toàn sứ để giữ màu trắng tự nhiên, không đen nướu.
Có thể bạn quan tâm: Cách chọn răng sứ màu tự nhiên phù hợp nhất
Có thể sửa răng sứ bị mẻ không cần thay không?
Nếu mẻ nhẹ, có thể mài hoặc trám lại. Nhưng nếu nứt sâu, bạn nên thay răng sứ cũ để đảm bảo ăn nhai chắc chắn.
Thay răng sứ mất bao lâu?
Thông thường chỉ 2–3 ngày nếu nha khoa có Labo riêng; trường hợp gửi xưởng ngoài có thể 5–7 ngày.
Và bạn có thể hoàn toàn yên tâm vì tại nha khoa SK, khách hàng sau khi lấy dấu sẽ có răng sứ mới chỉ sau 2-3 ngày. Không phải chờ đợi, không mất thời gian, an tâm với nụ cười tỏa sáng.
Một nụ cười đẹp bắt đầu từ sự quan tâm đúng lúc. Nếu bạn đang nghi ngờ răng sứ của mình có dấu hiệu xuống cấp, hãy đặt lịch kiểm tra ngay hôm nay để được bác sĩ đánh giá chính xác và tư vấn giải pháp phù hợp nhất cho bạn.

 
						 
Bài viết liên quan
Bọc răng sứ chuẩn y khoa: Quy trình chi tiết từ A–Z
Răng sứ sử dụng được bao lâu? Liệu có được 20 năm như quảng cáo?
Có nên bọc răng sứ không? Trường hợp nào nên và không nên?