Niềng răng là giải pháp chỉnh nha phổ biến giúp cải thiện thẩm mỹ và chức năng nhai. Tuy nhiên, không phải ai cũng phù hợp với phương pháp này. Hiểu rõ những người không nên niềng răng giúp bạn đưa ra quyết định đúng đắn, tránh biến chứng không mong muốn.
Nội dung
Tại sao không nên niềng răng?
1. Niềng răng tạo áp lực lớn lên răng và xương hàm
Quá trình chỉnh nha hoạt động dựa trên nguyên lý tạo lực liên tục để di chuyển răng. Áp lực này kích thích quá trình tái tạo xương: phá hủy xương ở phía răng di chuyển đến và tạo xương mới ở phía răng rời đi.
Với người có nền tảng xương yếu hoặc tình trạng sức khỏe không ổn định, áp lực này có thể gây:
- Tiêu xương nhanh hơn tốc độ tái tạo
- Răng bị lung lay vĩnh viễn
- Tổn thương chân răng không hồi phục
2. Không phải ai cũng có cấu trúc xương hàm ổn định
Xương hàm đóng vai trò nền tảng cho toàn bộ quá trình niềng răng. Đối tượng không nên niềng răng bao gồm những người có:
- Xương hàm quá mỏng hoặc thoái hóa
- Bất thường về cấu trúc xương (khớp cắn bất thường nghiêm trọng)
- Tiền sử phẫu thuật xương hàm chưa lành hoàn toàn

3. Các bệnh lý toàn thân ảnh hưởng trực tiếp
Nhiều bệnh lý toàn thân làm chậm quá trình lành xương và tăng nguy cơ biến chứng:
- Đái tháo đường không kiểm soát: Ảnh hưởng tuần hoàn máu, chậm lành thương
- Bệnh tim mạch: Tăng nguy cơ nhiễm trùng qua đường máu
- Loãng xương: Làm yếu nền tảng xương hàm
- Suy giảm miễn dịch: Dễ nhiễm trùng trong quá trình điều trị
4. Tình trạng răng miệng chưa ổn định
Khi nào không nên niềng răng? Khi môi trường răng miệng chưa sạch sẽ và khỏe mạnh:
- Còn viêm lợi, viêm nha chu
- Sâu răng chưa được điều trị
- Mảng bám và cao răng nhiều
- Răng đang bị nhiễm trùng tủy
Những đối tượng không nên niềng răng
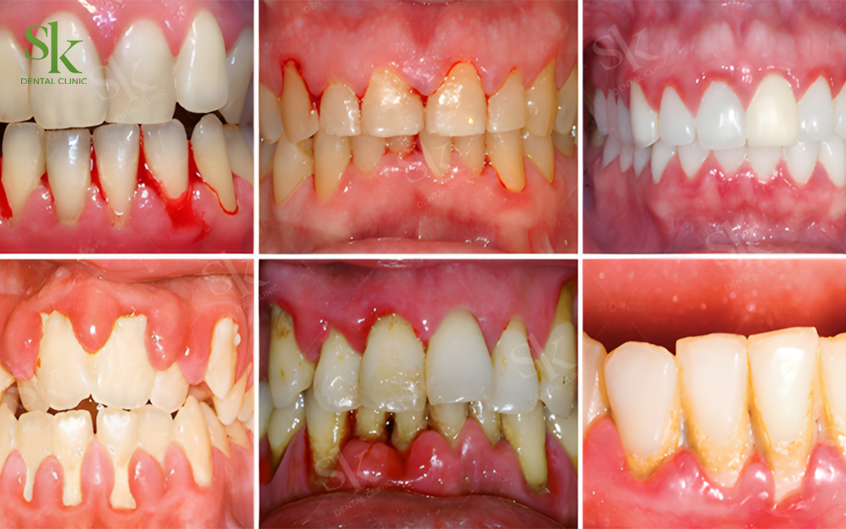
1. Người bị bệnh nha chu nặng
Nha chu là tình trạng viêm nhiễm nghiêm trọng ở mô nướu và xương ổ răng. Trường hợp không nên niềng răng này bao gồm:
- Nướu bị tụt nhiều, lộ chân răng
- Xương ổ răng bị tiêu hơn 1/3 chiều dài chân răng
- Răng lung lay độ 2-3
Lý do chống chỉ định: Niềng răng tạo thêm áp lực, khiến xương tiêu nhanh hơn, dẫn đến mất răng vĩnh viễn.
2. Người có răng yếu, men răng bị mòn
Men răng là lớp bảo vệ ngoài cùng. Khi men răng mỏng hoặc bị mòn:
- Răng dễ bị ăn mòn thêm khi đeo mắc cài
- Nguy cơ sâu răng tăng cao
- Răng nhạy cảm nghiêm trọng
Ai không nên niềng răng? Người có:
- Men răng phát triển không hoàn toàn
- Răng nhiễm Tetracycline nặng
- Răng bị ăn mòn do axit
3. Người bị loãng xương hàm
Loãng xương làm giảm mật độ và chất lượng xương, khiến:
- Di chuyển răng không dự đoán được
- Tăng nguy cơ gãy xương hàm
- Răng bị lung lay sau niềng
Đặc biệt, phụ nữ sau mãn kinh và người trên 50 tuổi có nguy cơ loãng xương cao hơn.
4. Phụ nữ đang mang thai hoặc cho con bú
Niềng răng chống chỉ định cho ai? Phụ nữ mang thai vì:
- Hormone thay đổi làm nướu nhạy cảm, dễ viêm
- Nguy cơ ảnh hưởng đến thai nhi nếu cần chụp X-quang
- Tăng nguy cơ sâu răng do ăn vặt nhiều hơn
- Khó khăn trong việc vệ sinh răng miệng

5. Trẻ em dưới 12 tuổi
Tuổi nào không nên niềng răng? Trẻ dưới 12 tuổi thường chưa thay đủ răng vĩnh viễn:
- Răng sữa còn tồn tại lẫn với răng vĩnh viễn
- Xương hàm chưa phát triển hoàn chỉnh
- Khả năng tự chăm sóc vệ sinh răng chưa tốt
Nên niềng răng từ mấy tuổi? Nha sĩ khuyến nghị từ 12-14 tuổi khi răng vĩnh viễn đã mọc đủ.
6. Người có bệnh toàn thân mãn tính chưa kiểm soát
Các trường hợp nên niềng răng cần hoãn lại nếu đang có:
- Tiểu đường với HbA1c > 7%
- Tăng huyết áp không ổn định
- Bệnh tim mạch chưa điều trị
- Ung thư đang hóa trị/xạ trị
- Rối loạn đông máu
Những trường hợp nên trì hoãn niềng răng
1. Đang viêm lợi, sâu răng chưa điều trị dứt điểm
Viêm lợi và sâu răng là ổ nhiễm trùng tiềm ẩn. Niềng răng khi còn bệnh lý này sẽ:
- Làm tình trạng viêm trở nên trầm trọng
- Khó vệ sinh, tạo điều kiện vi khuẩn phát triển
- Tăng nguy cơ sâu răng lan rộng
Điều trị triệt để viêm lợi, trám hết sâu răng trước khi bắt đầu niềng.

2. Răng bị lung lay hoặc vừa nhổ răng
Sau nhổ răng, xương cần thời gian tái tạo (khoảng 3-6 tháng). Niềng ngay sẽ:
- Cản trở quá trình lành vết thương
- Gây nhiễm trùng vùng nhổ răng
- Xương không đủ chắc để đỡ lực
Răng lung lay cần được ổn định trước, nếu không sẽ lung lay thêm hoặc rụng.
3. Đang điều trị chỉnh nha khác hoặc phục hình chưa hoàn tất
Nếu đang:
- Đeo niềng dở dang ở nơi khác
- Làm implant chưa gắn răng sứ
- Điều trị tủy răng chưa xong
Cần hoàn tất các liệu trình này trước. Điều trị chồng chéo gây lãng phí và kết quả không tốt.
Câu hỏi thường gặp khi chỉnh nha
1. Bị nha chu nhẹ có niềng răng được không?
Có thể niềng nếu bệnh nha chu đã được kiểm soát ổn định. Bạn cần:
- Điều trị viêm nha chu triệt để
- Duy trì vệ sinh răng miệng tốt
- Tái khám định kỳ mỗi 3 tháng
- Nha sĩ đánh giá xương ổ răng đủ vững chắc
2. Niềng răng khi mang thai tháng đầu tiên có ảnh hưởng không?
Không khuyến khích niềng răng trong thai kỳ vì:
- 3 tháng đầu là giai đoạn hình thành cơ quan thai nhi quan trọng
- Nội tiết thay đổi làm nướu viêm dễ hơn
- Khó chụp X-quang để theo dõi
Nếu đã niềng từ trước khi mang thai, có thể tiếp tục nhưng cần thông báo cho nha sĩ theo dõi sát.
3. Người lớn 50-60 tuổi có niềng được không?
Có thể niềng nếu đáp ứng các điều kiện:
- Xương hàm còn đủ chắc khỏe
- Không bị loãng xương nghiêm trọng
- Răng và nướu khỏe mạnh
- Không có bệnh toàn thân chống chỉ định

Độ tuổi nào không nên niềng răng? Không có giới hạn tuyệt đối về tuổi, quan trọng là tình trạng sức khỏe răng miệng và toàn thân.
4. Làm sao để biết mình có đủ điều kiện niềng răng không?
Cần thăm khám và kiểm tra toàn diện:
- Khám lâm sàng: Đánh giá răng, nướu, khớp cắn
- Chụp X-quang: Phim toàn cảnh, phim sọ nghiêng
- Chụp ảnh và lấy dấu hàm: Phân tích cấu trúc
- Khám tổng quát: Kiểm tra bệnh toàn thân
Chỉ sau khi có đủ kết quả, nha sĩ chỉnh nha mới đưa ra phương án điều trị phù hợp.
Tham khảo: Phương pháp niềng răng mắc cài cánh cam
Hiểu rõ những người không nên niềng răng giúp bạn tránh được rủi ro không cần thiết. Niềng răng là liệu trình dài hạn đòi hỏi sức khỏe răng miệng và toàn thân tốt. Nếu thuộc các đối tượng chống chỉ định, hãy điều trị ổn định tình trạng sức khỏe trước hoặc tham khảo các phương pháp chỉnh nha thay thế phù hợp hơn.
Luôn thăm khám tại cơ sở nha khoa uy tín, để bác sĩ đánh giá chính xác và tư vấn phương án tối ưu cho từng trường hợp cụ thể.

Bài viết liên quan
Invisalign – Giải pháp niềng răng trong suốt hiện đại cho nụ cười tự nhiên
Tháng 3 rực rỡ – Deal hời hết cỡ tại Nha khoa SK
Niềng răng sai khớp cắn – Hệ quả nếu không điều trị sớm